Bluegrass Orthopaedics is proud to acknowledge our latest Comeback Champion - Mr. Marc Frisiello! Mr. Frisiello shared his story with us, which can be found below.
"In November 2020, I began noticing some sensations in my right leg that I thought could be sciatica. Over the next two months, I experienced other symptoms in my arms, hands, hips - pretty much everywhere. I didn't have too much pain per se; what I had was loss of strength, function, dexterity, and sensation. It was very unsettling and also progressing, which made it worse both physically and psychologically. I am and have always been an active person: I've gone to the gym for years (and years...), I've studied martial arts, I'm a drummer. All of these things require everything I was losing, and so my quality of life really tanked. I was at work one day in January and after I saw my last patient (I'm a therapist), I was getting ready to leave and my right leg just kind of quit on me. That was the proverbial final straw, and the next morning I called BGO and spoke to Valerie, who got me an appointment the following day."
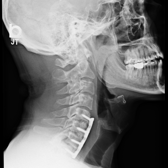
"As you might imagine, I had x-rays and an MRI done. After these were evaluated, I found myself in an office talking to Dr. Hunt, who told me I needed neck surgery. I never expected this and was a little freaked out--not solely because of how much functioning I had lost, but also because the prospect of surgery was pretty nerve-wracking. I spoke to Theresa, who got me scheduled very promptly, and in about two weeks I had ACDF surgery (with three fusions)."

"So my surgery was on 23 Feb 2021 - as I type this it is just over six months later (mid Sept). As far as how I am now, I went from walking with a limp (right leg was very impaired), having weird 'electric shocks' throughout my body, being physically numb over a good bit of my body, and having nearly no hand strength - and now, almost 100% back to normal after six months. I was unable to drive, play the drums, and go to the gym. I actually had trouble standing before surgery!"
"The first time I put my feet on the floor in post-op after my operation, I could tell my hips were more stable. I didn't feel like I would fall. I wasn't swaying like I had that very morning. I was able to walk to the bathroom unassisted. When I got home after surgery, the only thing I was allowed to do initially was walk. So I did every day, and added things to my routine as I could."
"I have to say that this recovery has been challenging and I worked (and work!) hard every day for the changes I've experienced, created, and been blessed to have. Nevertheless, without Dr. Hunt, the surgical team, and the great folks at BGO, I would never have made it this far. These folks are amazing and I have nothing but love and respect for them all. They each played a role in getting me from where I was to where I am now. I am grateful every day, believe you me!"

"This video was taken six months after the day I had my operation and two months before I turn 50. I want to share this with folks because I know how scary the prospect of neck surgery can be. My hope is that if you need a surgery like this and you read my story, you might find some encouragement and comfort in these words."
To learn more about orthopaedic surgeon, Dr. Travis Hunt, please click here!
